Belly fat linked to brain atrophy, possible dementia
California's Providence Saint John's Pacific Brain Health Center among leaders in international study
• An international study indicates a correlation between abdominal fat and brain atrophy, possibly leading to dementia.
• 10,001 individuals participated in the study, led in part by Providence Saint John’s Health Center’s Pacific Brain Health Center.
• The study found more women were affected by brain atrophy than men.
• Findings expand upon earlier study but based on much larger group of subjects and use of higher resolution imaging.
People with higher levels of abdominal fat are at greater risk of brain atrophy with aging, according to an international study that included a team of clinical researchers from Providence Saint John’s Health Center’s Pacific Brain Health Center.
Study participants with more of two types of abdominal body fat – subcutaneous fat under the skin and hidden visceral fat wrapped around the organs in the abdomen – are more likely to have loss of brain cells that might lead to dementia than people with smaller amounts of these types of abdominal fat, according to a study published today in the journal Aging and Disease.
The study used deep learning, a type of machine learning and artificial intelligence, to draw conclusions from whole body imaging scans. It also builds upon earlier research correlating fat and brain atrophy. The new study utilized much higher resolution imaging, included far more subjects, broadened the age range and expanded criteria to include subcutaneous fat. It also found women more than men are subject to brain shrinkage based on fat levels.
“Magnetic resonance imaging that encompassed the abdomen and head helped us determine both higher visceral and subcutaneous abdominal fat volume predicts loss of brain volume, a key metric of brain health,” said lead study author Cyrus A. Raji, M.D., Ph.D., of Washington University in St. Louis, who collaborated with the research team at the Pacific Brain Health Center.
“By conducting MRI in a large sample of adults spanning a wide age range, our study identifies patterns of brain shrinkage and links those findings to important contributors such as abdominal fat,” said Somayeh Meysami, M.D., assistant professor of neurosciences at Saint John's Cancer Institute and a study co-author.
“When we identify those at higher risk of Alzheimer’s disease, evidence from research like this motivates healthier behaviors in early and mid-life when changes make the most difference in patient care outcomes,” said study co-author David Merrill, M.D., director of the brain health center.
For the study, 10,001 healthy people 18 to 90 years old had whole body scans with MR imaging machines. Deep learning was used to determine the volume of 96 brain regions. The same scan also was used to find the amount of visceral and subcutaneous abdominal fat on the scans. Then researchers looked to see if there was a link between these types of abdominal fat and brain volume.
After controlling for factors that could affect brain volume, such as age and the total volume inside the skull, researchers found higher amounts of both visceral and subcutaneous fat were associated with greater atrophy in the overall gray and white matter of their brains and the main lobes of the brain. Increased subcutaneous and visceral fat also was associated with cell loss in the hippocampus area of the brain and other areas associated with memory and thinking skills that are affected by dementia.
For people who were overweight and obese with high visceral fat, those aged 20 to 39 had nearly six times the risk for overall brain atrophy when compared to people of similar age with normal levels of visceral fat; those 40 to 80 had over five times the risk.
For the same groups of people who had high visceral fat, when looking at white matter atrophy in particular, people aged 20 to 39 had almost four times the risk when compared to people with normal visceral fat levels; those aged 40 to 59 had over four times the risk; and people aged 60 to 80 had over five times the risk.
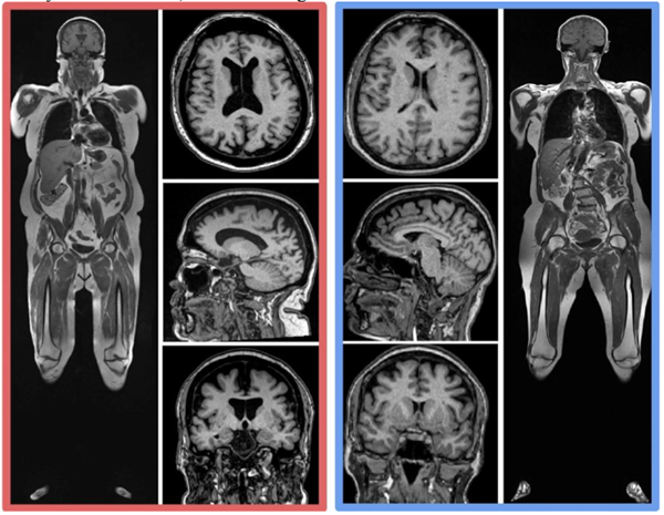
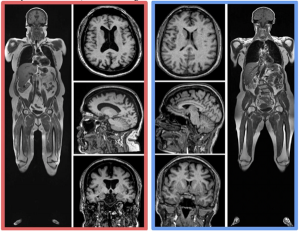
The results from this large data set were contextualized down to individual examples when comparing two MRI scans in two participants from the study with the same age and sex:
The study also found that women experienced a higher correlation between increased body fat and lower brain volume compared to men.
“Women are disproportionately affected by Alzheimer's disease, and we have a growing understanding of biological sex-related risk factors. Prior research has shown obesity is a modifiable risk factor for dementia and prevention has become a cornerstone of dementia risk reduction management,” said Kellyann Niotis, M.D., a study co-author, preventive neurologist and Early Medical and brain health researcher at the Institute for Neurodegenerative Diseases-Parkinson's & Alzheimer's Research Education Foundation in Boca Raton, Fla.
Up to 40% of worldwide dementia cases are linked to 12 modifiable risk factors including obesity, according to a 2020 Lancet Commission report and the fact that women have a higher risk of Alzheimer’s disease. “We need additional research to better understand sex differences and brain health,” Dr. Merrill said.
A limitation of the study was that images were taken at one time and participants were not followed to see who developed dementia over time. Dr. Raji notes in future studies, researchers plan to follow participants over a period of time.
Such work opens the possibility of future treatment trials where both body fat and brain imaging can track the outcomes of such treatment efforts. Rajpaul Attariwala, M.D., Ph.D., study senior author noted, “The AI tools we have built to analyze this large whole body MRI data set have wide-ranging utility for the preventive health space, as well as for the pharmaceutical industry as they can be used to determine what the future implication of monitoring body fat and brain volumes will be. Currently, we do not know how interventions such as diet, exercise and weight loss drugs will affect the anatomical fat distributions in the body or if they may have secondary benefits for the brain.”
Patricia Aidem
Providence Health & Services
+1 661-755-1322
email us here
Visit us on social media:
Facebook
Twitter
LinkedIn
Instagram
YouTube
TikTok
Other
Legal Disclaimer:
EIN Presswire provides this news content "as is" without warranty of any kind. We do not accept any responsibility or liability for the accuracy, content, images, videos, licenses, completeness, legality, or reliability of the information contained in this article. If you have any complaints or copyright issues related to this article, kindly contact the author above.
