aetherAI Machine Learning Approach for Classification of Primary Intestinal T-Cell Lymphomas Published in Cancers
Our research demonstrates an accurate, human-interpretable approach to using machine learning algorithms to reduce the high dimensionality of image features and classify T cell lymphomas.”
TAIPEI, TAIWAN, April 6, 2022 /EINPresswire.com/ -- aetherAI—Asia’s leading medical image AI solution provider focused on digital pathology and medical imaging AI—has announced the publication of its machine learning approach for the accurate quantification of nuclear morphometrics and differential diagnosis of primary intestinal T-cell lymphomas in the peer-reviewed Cancers. This approach not only brings deeper insight into lymphoma phenotypes but also paves the way for future discoveries concerning their relationship with disease classification and outcomes. Entitled “Machine Learning Based on Morphological Features Enables Classification of Primary Intestinal T-Cell Lymphomas,” the article can be accessed online here. — Joe Yeh, M.D., aetherAI founder and CEO
The aim of the study was to investigate the feasibility of using machine learning techniques based on morphological features to classify two subtypes of primary intestinal T-cell lymphomas (PITLs): monomorphic epitheliotropic intestinal T-cell lymphoma (MEITL) and intestinal T-cell lymphoma, not otherwise specified (ITCL-NOS), defined according to WHO criteria. These features are considered a major challenge for pathological diagnosis.
The results indicate that the XGBoost model gave superior classification performance to the end-to-end CNN model and could elucidate explicit relationships between predictions and morphological features, while also achieving results comparable to classifications incorporating immunophenotype or to work by senior hematopathologists.
The deep neural network achieved an average precision of 0.881 in the cell segmentation work. In its classification of MEITL versus ITCL-NOS, the XGBoost model achieved an area under receiver operating characteristic curve (AUC) of 0.966.
“Our research demonstrates an accurate, human-interpretable approach to using machine learning algorithms to reduce the high dimensionality of image features and classify T cell lymphomas that present challenges in morphologic diagnosis,” said Joe Yeh, M.D., aetherAI founder and CEO. The quantitative nuclear morphometric features may lead to further discoveries concerning the relationship between cellular phenotype and disease status. “Our model may have great potential to improve diagnostic consistency, efficiency, and accuracy for other types of cancers,” Yeh added.
The study was conducted in collaboration with Dr. Shih-Sung Chuang of the Department of Pathology at Chi-Mei Medical Center in Taiwan and with four other hospital departments of pathology. A total of 40 histopathological whole-slide images (WSIs) from 40 surgically resected PITL cases were used as the dataset for model training and testing.
Fig.1: Sample images used as the dataset.
(A) An example of the whole-slide image. A high-quality region was manually marked with a black circle by a senior hematopathologist.
(B) Left to right: Representative HPF images of neoplastic lymphocytes from MEITL, borderline, and ITCL-NOS cases. The neoplastic lymphocytes detected and segmented by the model are contoured in red.
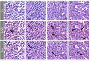
Fig. 2: Comparison of contour segmentation results with the QuPath cell detection module. aetherAI’s lymphocyte detection model (third row) showed fewer FC and FP but more false negatives (FN) at a score threshold of 0.2.
About aetherAI
Asia’s leading medical image AI solution provider, aetherAI is dedicated to providing cutting-edge solutions for digital pathology transformation, AI-powered diagnostic support systems, and biopharma enterprise services. By leveraging state-of-the-art technologies, aetherAI aims to ease the burden on healthcare professionals and improve diagnostic imaging quality. At the forefront of digital pathology AI, aetherAI partners with top medical centers in the US, Taiwan, and Japan, including UPMC, National Taiwan University Hospital, and Kanazawa University. aetherAI is also a trusted collaborator for such BioPharma companies as Novartis Taiwan and ACT Genomics, and many more are working with us to accelerate AI applications for research efficiency.
Abby Sung
aetherAI CO., LTD.
+886 2 2785 6892
email us here
Visit us on social media:
Facebook
Twitter
LinkedIn
Legal Disclaimer:
EIN Presswire provides this news content "as is" without warranty of any kind. We do not accept any responsibility or liability for the accuracy, content, images, videos, licenses, completeness, legality, or reliability of the information contained in this article. If you have any complaints or copyright issues related to this article, kindly contact the author above.

