Dubai Sky Clinic Introduces Painless Laser Gum Surgery & Laser Gum Depigmentation
Dubai Sky Clinic Introduces Painless Laser Gum Surgery & Laser Gum Depigmentation
DUBAI, DUBAI , UNITED ARAB EMIRATES , May 15, 2016 /EINPresswire.com/ --Dubai Sky Clinic Introduces Painless Laser Gum Surgery & Laser Gum Depigmentation
May 2016, Dubai - Dubai Sky Clinic, one the UAE’s leading and longest established dental clinics, introduces its innovative laser gum surgery techniques, including gum depigmentation, under the direction of Dr Yasmin Omran, a dental surgeon with specialized training in laser surgery. Laser gum surgery is a laser-based technique for the treatment of periodontal disease using a specialized dental laser. Laser therapy is an amazing breakthrough in the treatment of periodontal disease, which replaces cutting the gum tissue with a scalpel and does not require stitches. This means an easier recovery with minimal bleeding, which preserves gum tissue and reduces root exposure and sensitivity.
Dr Yasmin said: “Laser gum surgery allows us to remove harmful bacteria and diseased tissue from the gum pocket by passing a laser light between the gum and tooth. The treatment is almost entirely painless, but we use local anaesthetic to eliminate any possible discomfort and insert a tiny laser fibre (about the thickness of three human hairs) between the tooth and gum and the infection is cleared away by removing only the diseased tissue. This can be done without making any type of incision. After removing the diseased tissue, the laser immediately cauterizes the wound. The result is that you experience little to no bleeding. An added benefit of the laser is its ability to seal the nerve endings. The entire process results in only minor discomfort afterward.”
Dubai Sky Clinics is one of the few dental clinics in the region to utilise lasers for gum surgery under the supervision of an oral surgeon specifically trained in laser surgery.
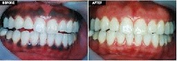
Dr Yasmin emphasises that gum whitening or depigmentation has to be done in the right hands otherwise patients risk getting burns and long-term problems.
From a cosmetic point of view, discolouration on the gum do not usually cause serious problems, but they can be unsightly and cause self-consciousness when smiling. Genetics, smoking and certain medications can all cause gum pigmentation. The problem with gum spots is that they can make healthy gums falsely appear unhealthy. The gums are often just as visible as the teeth; therefore the appearance of healthy gums is just as important as healthy teeth are to a great smile. Luckily with dental laser treatment, these spots can be removed quickly and painlessly - with amazingly fast healing time.
Dr Yasmin added: “A lot of people want to give their smile a ‘lift’ and they assume the only way to do this is with extensive veneers. This is not the case. I like the give people the best natural smile they can have, which means exploring a range of options. Many people don’t realise that what they need is not veneers, but rather gum contouring or gum depigmentation to brighten up their smile and give them an overall ‘boost’, so the whole mouth looks more aesthetically pleasing.”
Dr Maximillian Riewer, founder of Dubai Sky Clinic, said: “We are constantly seeking ways to become more innovative and to offer our patients access to the latest dental techniques the minute they are launched globally. One of the reasons we employ such a large team of 11 dentists is so that each dentist is highly trained and specialized in their specific area, with the latest international qualifications and techniques. Our patients know that they don’t have to travel to Europe or the US in order to avail of new technology that has just hit the market. They can experience it right here at Sky Clinic.”.
Dr Yasmin is fully trained in laser surgery with a Master’s of Science in Lasers in Dentistry degree in 2008 from Aachen University in Germany; a European Master’s Degree in Oral Lasers Applications from the University of Liege (Belgium), University of Nice (France), and Aachen University (Germany). Dubai Sky Clinic utilises the xxxxx equipment.
About Dubai Sky Clinic
Dubai Sky Clinic in Burjuman was founded in 2006 by Dr Maximilian Riewer, a German cosmetic and general dentist who trained in Munich and Los Angeles. Sky Clinic Dental Centre in JLT was founded in 2014 by Dr Max and his long terms partners, Dr Rabih Abi Nader and Dr Mafouz to extend the same level of excellence to patients throughout Dubai. The team comprises of 11 dentists, each one a specialist in a specific dental field including: cosmetic & aesthetic dentistry, implantology, oral surgery, orthodontics, laser dentistry, children’s dentistry, periodontics, endodontics, laser dentistry, Chao Pinhole technique and general dentistry. Both Sky Clinics are open 7 days a week from 9am to 9am.
Dubai Sky Clinic:
Burjuman Business Tower, Level 21
Trade Centre Street, Bur Dubai.
P.O. Box 120769, Dubai, U.A.E.
T: + 971 4 355 8808
Sky Clinic Dental Centre JLT:
Cluster Y, Swiss Tower, 27th Floor
Jumeirah Lake Towers
Dubai, U.A.E
T: + 971 4 704 8000
info@dubaiskyclinic.com
www.dubaiskyclinic.com
Sara Truschler
Lotus Communications
00971 56 7785652
email us here
Legal Disclaimer:
EIN Presswire provides this news content "as is" without warranty of any kind. We do not accept any responsibility or liability for the accuracy, content, images, videos, licenses, completeness, legality, or reliability of the information contained in this article. If you have any complaints or copyright issues related to this article, kindly contact the author above.
