Leading New York Dentist Says That Bad Oral Health Puts Expecting Mothers and Pregnancies at Risk
Dr. Charles Puglisi, known as Greenwich Village dentist, says that poor dental hygiene increases the risk for miscarriage in pregnant women.
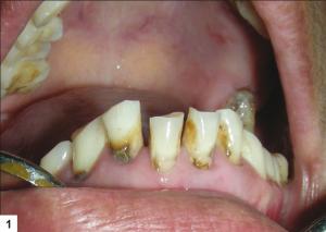
Miscarriage found that those who had unhealthy mouths were more likely to have also had a miscarriage
NEW YORK, NY, UNITED STATES, February 11, 2014 /EINPresswire.com/ -- “A pregnancy can bring untold stress into a woman’s life,” explains Dr. Charles Puglisi, DMD, F.A.G.D., a leading New York dentist (www.drpuglisi.com), “but what many people don’t realize is that a woman’s teeth and gums can be negatively impacted by a pregnancy as well.”— Dr. Puglisi
According to Dr. Puglisi, the hormone progesterone increases during pregnancy. While progesterone is necessary for a successful pregnancy, it also makes the expecting mother more susceptible to gingivitis, or gum disease. This is bad news, he says, for women who neglect their teeth because recent studies have shown that women in need of urgent dental treatment are more likely to have a miscarriage.
“A recent study conducted in Finland found that women surveyed about their dental care and whether they had had a miscarriage found that those who had unhealthy mouths were more likely to have also had a miscarriage,” Dr. Puglisi explains. “This link, however, is not surprising.”
Gingivitis, which is an inflammation of the gums, not only deteriorates a person’s smile, says Dr. Puglisi, but gum disease has been proven to put patients at risk for many serious health conditions, including diabetes, heart disease, and stroke.
“On the other hand, women who recognized the importance of preventive dental care were less likely to have had a miscarriage, according to the study,” he says. “The connection between oral health and a person’s overall well-being is proven, which is why regular dental care is necessary.”
For more than three decades, Dr. Charles Puglisi DMD., F.A.G.D, has been offering quality oral care. His practice, located at 39 Fifth Ave, New York, NY, in the heart of Greenwich Village, offers Comprehensive General, Cosmetic and Restorative Dentistry, Laminates, Veneers and Bonding, Cosmetic Tooth Whitening and Tooth Re-shaping, Prophy-Jet™ Air Polishing Dental Implant Restorations, Crowns, Bridges, Porcelain/Composite Inlay/Onlays, Periodontal Treatments, and more. Call (212) 529-2929 for more information or visit Dr. Puglisi’s website at www.drpuglisi.com
Lue Guarrasi
Dzine It
2129890813
email us here

